10月8日早晨,一声嘹亮的啼哭响彻手术室,医护人员的嘴角也跟着一起上扬。全球首位在孕中期接受“累及心脏的静脉内平滑肌瘤病”手术并继续妊娠的孕妇,在beat365英国官方网站北京协和医院顺利诞下一名健康、足月的婴儿。这也为人类战胜静脉内平滑肌瘤病这种诊断存在困难、复发率高、危及女性生命的疾病增加了新的经验和宝贵的信心。

31岁的谢女士罹患静脉内平滑肌瘤病两年多,正鼓起勇气准备接受治疗时,意外发现自己怀孕了。在孕期激素的“加持”下,谢女士盆腔内的瘤体迅速增大至足月胎儿大小,血管内瘤栓沿着右侧髂静脉、下腔静脉一直“爬”到右心房,甚至在心脏舒张期进入右心室,使她处于随时可能猝死的高危风险下。
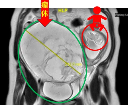
▲2024年4月,谢女士的核磁共振图像显示,巨大肿瘤将她的子宫挤到了腹腔左侧
患者和家属恳请医生一定要保住孩子。他们的心愿与国内外“平滑肌瘤病广泛累及子宫外大血管及心脏者应切除子宫及双侧附件,以免疾病进一步进展,危及生命”的指南和经验完全相悖。这给医护人员提出了高难度的挑战,也给了他们奋力一搏的机会。
4月28日,妇产科樊庆泊主任医师团队、血管外科副主任陈跃鑫团队、麻醉科副主任裴丽坚团队、手术室总护士长王惠珍团队、心外科马国涛副主任医师团队一起为谢女士完成了“盆腔巨大静脉内平滑肌瘤切除、累及心脏的下腔静脉及双侧髂静脉平滑肌瘤取出术”,郎景和院士在台侧坐镇指导。

▲樊庆泊(左三)团队与陈跃鑫(左二)团队在手术中
术后,谢女士恢复顺利,胎儿也没有受到影响。多团队再次为她会诊,详细制定术后用药、随访、检查方案。
5月24日随访中发现,谢女士右侧宫旁静脉内平滑肌瘤疑有增大。郎景和院士和多学科团队判断,随着孕中后期激素水平的下降,静脉内平滑肌瘤的生长速度会减慢,不影响继续妊娠。此后的随访结果印证了专家们的预判,静脉内平滑肌瘤没有明显增大。在团队严密随访、保驾护航下,谢女士的腹部一天天变大,一个健康的胎宝宝正在茁壮成长。
“医生告诉我,遇到任何情况都会有相应的治疗措施,而且他们一定会为我选择最优方案。这让我放下忧虑,一心一意陪伴肚子里的宝贝过好每一天。”谢女士笑着说。
9月30日,胜利的曙光乍现。谢女士怀孕37周多,腹中胎儿已经基本成熟。妇产科、麻醉科手术室、血管外科、心外科、儿科、输血科、重症医学科、超声医学科等多学科专家再次为谢女士会诊,全面评估她的情况,拟定剖宫产方案。

▲郎景和院士(右二)领衔,多学科团队会诊
“我们的核心目标是母子平安。”郎景和院士强调。10月8日9点9分,胎儿顺利剖出。阿氏评分满分,体重3100克,体长47厘米,是一个完全健康、非常漂亮的小女孩!

▲术者:高劲松、钟逸锋、樊庆泊;麻醉:裴丽坚;台下指导:郎景和、黄宇光、朱兰、申乐、陈跃鑫、马国涛

▲郎景和院士与樊庆泊主任医师为新生儿做检查
当手术室的白色大门缓缓打开,母女平安的好消息传出,家属喜极而泣,不住道谢。这个呱呱坠地的小生命,是谢女士一家的宝贝,是北京协和医院的宝贝,也是医学奖励给突破静脉内平滑肌瘤手术禁区的勇士们最好的宝贝。

beat365英国官方网站北京协和医院作为全国疑难重症诊治指导中心,将持续创新探索,不断深化对疾病的认知,努力为患者保留生育功能、生育健康后代保驾护航。
供稿:协和医院