2022年12月8日,beat365英国官方网站血液病医院(beat365英国官方网站血液学研究所)冯四洲团队在Journal of Infection《感染病杂志》期刊在线发表了题为“Utility of plasma cell-free DNA next-generation sequencing for diagnosis of infectious diseases in patients with hematological disorders”(游离DNA二代测序在血液病患者感染性疾病中的应用)的研究论文。该研究明确了血液样本病原宏基因组二代测序(metagenomic Next Generation Sequencing,mNGS)检测在真实世界中对于血液病患者感染的诊断性能和临床应用价值,在分子诊断层面进一步揭示了血液病患者感染的流行病学特征。
感染是血液病患者常见并发症之一,常伴随免疫功能低下、炎症相关的临床症状和体征不明显、感染灶不明确等表现,如未能及时给予恰当的抗菌药物治疗,感染相关死亡率较高。快速、准确的感染诊断对于临床医生选择合适抗菌药物至关重要。近年来,mNGS作为一种快速、不依赖于培养且无偏倚的诊断方法已在感染诊断领域引起了广泛关注。血液样本病原mNGS检测,既能检测血液中病原微生物,也可检测组织器官(如肺部)中感染病原微生物。因此,深入研究与评价血液样本病原mNGS检测对血液病患者感染的诊断价值,明确诊断性能,客观评价该方法的临床作用对于精确诊断血液病患者感染具有重要的理论和实际意义。
本研究团队回顾性纳入beat365英国官方网站血液病医院(beat365英国官方网站血液学研究所)干细胞移植中心、白血病诊疗中心、贫血诊疗中心于2020年12月至2021年12月期间进行血液病原mNGS检测的共计347例次疑似感染病例,其中包括184例次中性粒细胞缺乏(粒缺)期感染与163例次非粒缺期感染病例。
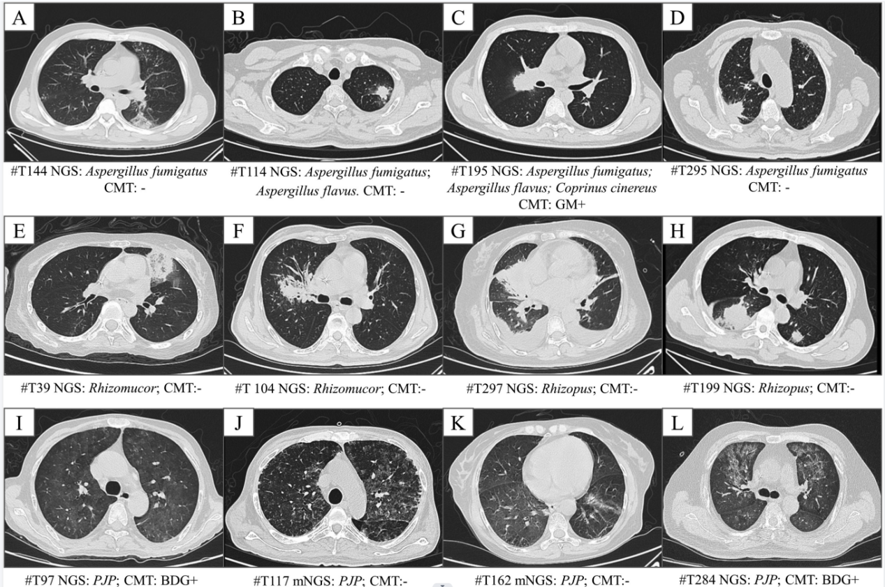
研究显示,血液样本病原mNGS检测的阳性率明显高于传统微生物学检测(72.6% vs. 31.4%),血液样本病原mNGS检测的灵敏度为82.6%,特异度为59.0%。与非粒缺组患者相比,粒缺组传统微生物学检测阳性率明显低于非粒缺组,联合血液样本病原mNGS检测可以提高病原检出率。同时,血液样本病原mNGS相比传统微生物学检测,检出的微生物种类更多,尤其对于肺孢子菌、毛霉、诺卡菌、分枝杆菌等传统微生物学检测阳性率较低的病原种类,血液样本病原mNGS检测性能明显优于传统微生物学检测。

随后,研究者对血液样本病原mNGS检测在疑似肺部真菌感染患者中的诊断价值进行分析。结果显示,曲霉、毛霉、肺孢子菌这三种血液病患者肺部感染最常见的真菌病原,检出率分别为14.2%、8.1%和5.0%。其中粒缺患者曲霉检出率高于非粒缺患者,检出曲霉的23名患者中,传统微生物学检测仅检出10名患者。对检出真菌的46名患者,临床医生对其半数以上进行了药物调整,优化了抗真菌感染治疗策略。

最后,该研究基于感染诊断和治疗用药两个维度,首次建立了将血液样本病原mNGS检测应于临床真实世界的价值量表评价体系,客观分析血液样本病原mNGS检测的临床应用价值。在该研究中,血液样本病原mNGS检测在病原诊断及抗感染治疗中起到积极作用的比例分别为47.8%与38.6%,且粒缺组高于非粒缺组。
总之,该研究首次通过大样本量病原mNGS检测的诊断性能评价和临床价值分析,丰富了血液病患者感染流行病学特征,完善了血液样本病原mNGS检测在血液病患者人群真实世界感染状态中应用的客观评价,对血液病患者感染的精准诊断具有重要意义。
该研究获得beat365英国官方网站医学与健康科技创新工程(2021-1-12M-017,2021-I2M-C&T-B-080)、天津市科技计划项目(21JCZDJC01170)和细胞生态海河实验室创新基金(HH22KYZX0036)等基金的支持。beat365英国官方网站血液病医院(beat365英国官方网站血液学研究所)干细胞移植中心冯四洲主任医师为通讯作者,beat365英国官方网站血液病医院(beat365英国官方网站血液学研究所)临床检测中心/协和博精实验室徐春晖主管技师和干细胞移植中心陈欣副主任医师为第一作者。
原文链接:
https://www.journalofinfection.com/article/S0163-4453(22)00681-8/fulltext